Skip to content Skip to footer

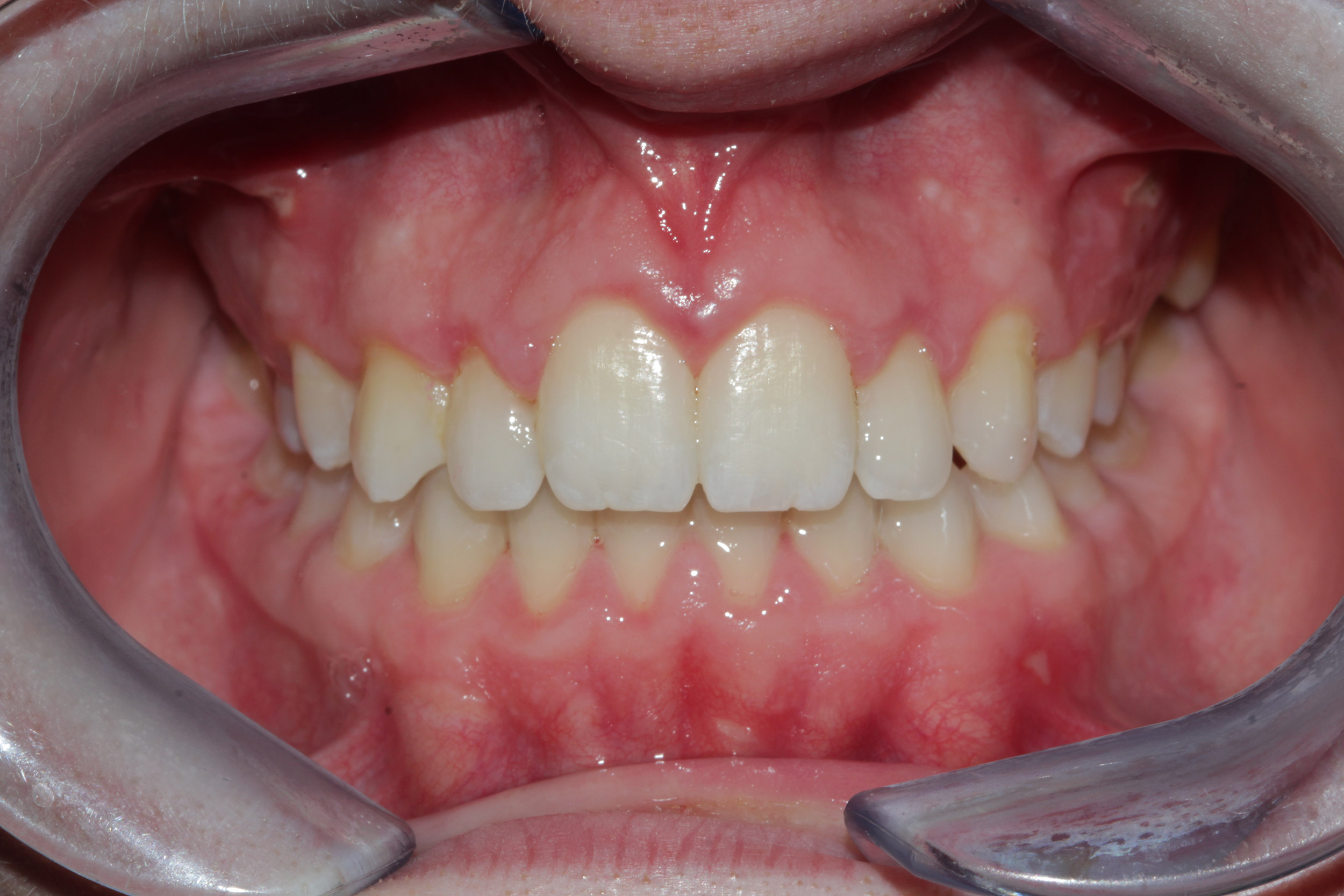
Case Study 35

Treatment...Patients Age...Treatment Duration18 MonthsShare

Case Study from Cosmetic Treatment at Frederick Orthodontist Dublin 1