Case Study from Cosmetic Treatment at Frederick Orthodontist Dublin 1
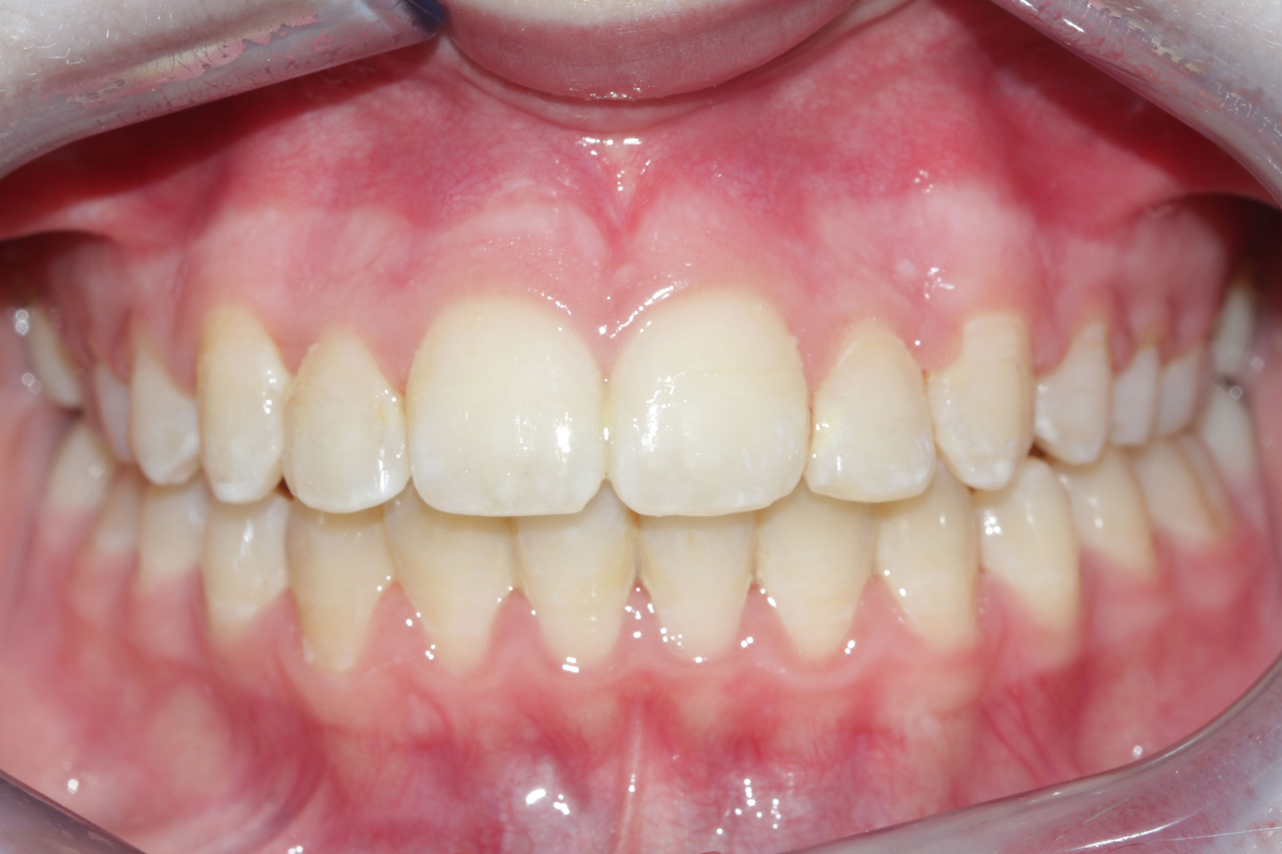
Before and After photos of patient
To provide the best experiences, we use technologies like cookies to store and/or access device information. Consenting to these technologies allows us to process data such as browsing behaviour or unique IDs within the European Economic Area (EEA). Not consenting or withdrawing consent may limit certain features and functions. See our Privacy Policy for more details.